DIAGNOZA: stwardnienie rozsiane
Jestem osobą cierpiącą od 13 lat na stwardnienie rozsiane. Wielu ludzi pytało mnie przez lata, co dokładnie konopie robią w leczeniu tej choroby. Odpowiedź jest na ogół dłuższa, niż się spodziewano. W tym eseju chciałbym spróbować wyjaśnić, zarówno z mojej subiektywnej, jak i obiektywnej perspektywy, jak to jest możliwe. Wielu ludzi „zna” kogoś, kto używa konopi jako lekarstwa, ale zazwyczaj na tym ich wiedza się kończy. Oto trochę doświadczeń z pierwszej ręki.

UTRATA KONTROLI
W 1998 roku zdiagnozowano u mnie wtórnie postępujące stwardnienie rozsiane, ponieważ "ataki" mojego układu odpornościowego były ogromne i prowadziły do utraty kontroli nad różnymi częściami ciała. Czasami dotyczyło to układu moczowego, innym razem moich nóg, które traciły siłę i koordynację. Bywało, że traciłem wzrok w jednym oku i znaczną część widzenia w drugim.
Muszę pochwalić lekarzy i personel czeskich szpitali. Choć przez ostatnie dziesięć lat mieszkałem tu jako turysta i nie miałem czeskiego ubezpieczenia zdrowotnego, udzielano mi pomocy. Lekarze podawali mi wlewy kortykosteroidów, a butelki zgłaszano jako uszkodzone podczas transportu. W tamtym czasie nie mogłem sobie pozwolić na leczenie. Sytuacja zmieniła się, gdy w 2000 roku uzyskałem obywatelstwo Czech i włączyłem się do systemu ubezpieczeń zdrowotnych.
Otrzymałem wszystkie dostępne diagnozy i leczenia: sterydy Prednizon, Medrol, Azatiopren (silny immunosupresant), a także cytostatyki i interferony beta – Avonex (9 miesięcy) i Rebif (2 lata). Te leki są bardzo kosztowne i stosowane tylko w najpoważniejszych przypadkach.
Efekt tych terapii był wyniszczający. Moje ciało cierpiało jak nigdy wcześniej – czułem, jakby moje komórki się rozpadały. Ataki układu odpornościowego powodowały ekstremalne zmęczenie. Pamiętam, jak kiedyś ścieliłem łóżko – zrobiłem część i musiałem się położyć, zanim dokończyłem.

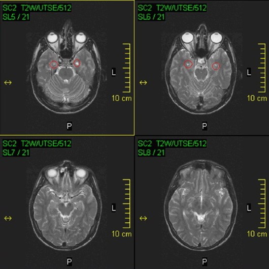
Stwardnienie rozsiane oznacza bliznowacenie tkanki nerwowej, która jest losowo rozmieszczona w układzie nerwowym.
MOIM SZCZĘŚCIEM BYŁO, ŻE URODZIŁ MI SIĘ SYN
To wszystko zmieniło. Pojawił się sens, motywacja do poprawy i zacząłem szukać sposobów, by sobie pomóc. Używałem marihuany już jako nastolatek. Krewny przyniósł mi małą roślinę i wspomniał, że mogłaby mi pomóc. Tak zaczęła się moja podróż.
W 2006 i 2007 roku mój stan uległ poprawie, a neurolog zmienił klasyfikację mojej choroby na postać rzutowo-remisyjną.
Teraz, po 7 latach, funkcjonuję normalnie, choć poruszam się o kulach. Można powiedzieć, że przeszedłem przez „wojnę” – wojnę z samym sobą.
KONOPIE W SYSTEMIE UBEZPIECZEŃ ZDROWOTNYCH
Chciałbym skupić się na innym aspekcie – analizie marihuany jako leku oraz jej wpływu na system ubezpieczeń zdrowotnych w Czechach.

ŻÓŁTE – koszty standardowych leków
ZIELONE – koszty uprawy marihuany
TERAPEUTYCZNE KORZYŚCI KONOPI W SM
Badania MRI z lat 1998–2006 wskazują na pogorszenie mojego stanu, ale później nastąpiła stabilizacja. Dzięki wykorzystaniu kannabinoidów (THC i CBD) mogłem łagodzić skutki uboczne leków, takie jak nudności, utrata apetytu, zaburzenia snu i drgawki.
KOSZTY, FINANSE I KONOPIE
Porównałem koszty mojego leczenia – standardowe leki kontra marihuana. Uprawiając własne rośliny, oszczędzałem ogromne sumy. Szacunkowy koszt marihuany wynosił około 30 CZK za gram, co przy dziennym zużyciu jednego grama daje roczny koszt 10 950 CZK.
W Czechach około 30 000 osób cierpi na stwardnienie rozsiane. To tylko jedna z wielu chorób, które mogą być leczone konopiami.
Chciałbym podkreślić, że medycyna konwencjonalna jest niezwykle ważna i w wielu przypadkach niezbędna. Jednak dostęp do marihuany jako leku powinien być ułatwiony – tak, aby społeczność medyczna mogła wykorzystać jej potencjał.
STWARDNIENIE ROZSIANE
Stwardnienie rozsiane (SM) to choroba autoimmunologiczna ośrodkowego układu nerwowego. Układ odpornościowy atakuje osłonki mielinowe nerwów, co prowadzi do zaburzeń przewodzenia impulsów.
Najczęściej spotykane formy SM:
- Postać rzutowo-remisyjna – najczęstsza i najlepiej poddająca się leczeniu.
- Postać wtórnie postępująca – trudniejsza do kontrolowania.
- Postać pierwotnie postępująca – rozwijająca się stopniowo i trudna do leczenia.
- Postać postępująco-nawracająca – najrzadsza i najbardziej agresywna.
Źródło: magazin-legalizace
Autor artykułu: Lucie Garabášová
